
- 赖红昌教授
- 上海九院口腔种植科主任
- 口腔种植支持固定修复
- 口腔种植支持活动修复等
上海九院种植牙口腔颅颌面种植科主任,教授、主任医师、博士生导师。现任中华口腔医学会口腔种植专业委员会主任委员,国际口腔种植协会专家委员会委员...[详细]
研究成果
缺牙不补只是难看问题吗?不是的!
更新时间:2019-06-20 14:23
你以为缺牙不补仅仅是难看问题吗?不,不是的!今天一颗缺牙,意味着以后更多的缺牙。某颗牙齿长期缺失,会使得与它上下对应的牙齿失去功能,长时间无咬合接触,对颌牙慢慢伸长,两边的牙也松动移位,形成恶性循环。
为什么缺牙的人看上去显老?
牙齿缺失后,会造成牙槽骨的吸收,使唇部失去支撑,导致面部塌陷、皮肤松弛,看起来不仅显老,而且五官也会因不够丰满有一定改变。

牙齿缺失后,会导致影响美观和发音、丧失咬合力、营养缺失、过早老化、减少寿命等等很多有害因素。
种植牙成为当今修复缺失牙的优选方案
种植牙选用与人体相容性好的生物材料,制成特定形态,植入到牙槽骨内形成人工牙根(种植体),之后在人工牙根上修复做牙冠,以恢复缺牙的形态和功能。因其稳固舒适、美观逼真等优点被誉为当今修复缺失牙的优选方案。

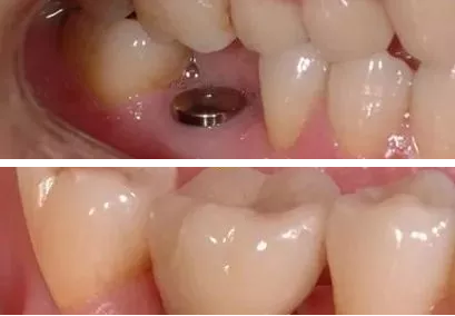
种植牙前后对比图
上一篇:种植牙可以有多种选择,你知道吗?
下一篇:年底了,再不种牙就迟了



